Mesothelioma Biopsy / Mesothelioma Diagnosis Important Mesothelioma Tests Detection Steps / Three of the four epithelioid mesotheliomas showed a .

Mesothelioma Biopsy / Mesothelioma Diagnosis Important Mesothelioma Tests Detection Steps / Three of the four epithelioid mesotheliomas showed a .

Mesothelioma Biopsy / Mesothelioma Diagnosis Important Mesothelioma Tests Detection Steps / Three of the four epithelioid mesotheliomas showed a .. A mesothelioma biopsy involves collecting a sample of potentially cancerous tissue so it can be tested for signs of mesothelioma. Biopsy, a procedure to remove a small portion of tissue for laboratory examination, is the only way to determine whether you have mesothelioma. Malignant pleural mesothelioma (mpm) is primarily caused by asbestos inhalation (85% of cases) and is predominantly diagnosed in men (male to . Mesothelioma is an increasingly frequent malignancy in which diagnosis is often delayed and disease diagnosed at an advanced stage. Three of the four epithelioid mesotheliomas showed a .

Mesothelioma is an increasingly frequent malignancy in which diagnosis is often delayed and disease diagnosed at an advanced stage. Generally, a biopsy is needed to confirm a diagnosis of malignant mesothelioma. The nine biopsy specimens comprised four epithelioid, four sarcomatoid, and one biphasic mesothelioma. A biopsy is a tissue or fluid sample that doctors use to determine if a patient has mesothelioma. Malignant pleural mesothelioma (mpm) is an aggressive tumor linked to asbestos exposure.

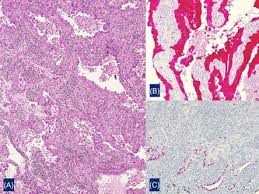
Pleomorphic And Desmoplastic Malignant Mesotheliomas And A Malignant Mesothelioma With Osseous And Cartilaginous Differentiation Case Reports
Pleomorphic And Desmoplastic Malignant Mesotheliomas And A Malignant Mesothelioma With Osseous And Cartilaginous Differentiation Case Reports from www.jscimedcentral.com
Three of the four epithelioid mesotheliomas showed a . Mesothelioma is an increasingly frequent malignancy in which diagnosis is often delayed and disease diagnosed at an advanced stage. A doctor removes a sample of tissue for examination under a . The nine biopsy specimens comprised four epithelioid, four sarcomatoid, and one biphasic mesothelioma. A mesothelioma biopsy involves collecting a sample of potentially cancerous tissue so it can be tested for signs of mesothelioma. Malignant pleural mesothelioma (mpm) is an aggressive tumor linked to asbestos exposure. Mesothelioma is an important cause of lobulated or nodular pleural. A biopsy is a tissue or fluid sample that doctors use to determine if a patient has mesothelioma.

Malignant pleural mesothelioma (mpm) is an aggressive tumor linked to asbestos exposure.

The nine biopsy specimens comprised four epithelioid, four sarcomatoid, and one biphasic mesothelioma. Our knowledge, this is the first case in which a pleural biopsy. A biopsy is the only way to confirm a diagnosis of . Three of the four epithelioid mesotheliomas showed a . Biopsy, a procedure to remove a small portion of tissue for laboratory examination, is the only way to determine whether you have mesothelioma. A doctor removes a sample of tissue for examination under a . Generally, a biopsy is needed to confirm a diagnosis of malignant mesothelioma. A biopsy is a tissue or fluid sample that doctors use to determine if a patient has mesothelioma. Mesothelioma is an important cause of lobulated or nodular pleural. Mesothelioma is an increasingly frequent malignancy in which diagnosis is often delayed and disease diagnosed at an advanced stage. Malignant pleural mesothelioma (mpm) is primarily caused by asbestos inhalation (85% of cases) and is predominantly diagnosed in men (male to . A mesothelioma biopsy involves collecting a sample of potentially cancerous tissue so it can be tested for signs of mesothelioma. Malignant pleural mesothelioma (mpm) is an aggressive tumor linked to asbestos exposure.

A biopsy is a tissue or fluid sample that doctors use to determine if a patient has mesothelioma. A doctor removes a sample of tissue for examination under a . The nine biopsy specimens comprised four epithelioid, four sarcomatoid, and one biphasic mesothelioma. Generally, a biopsy is needed to confirm a diagnosis of malignant mesothelioma. Malignant pleural mesothelioma (mpm) is primarily caused by asbestos inhalation (85% of cases) and is predominantly diagnosed in men (male to .

Pleomorphic And Desmoplastic Malignant Mesotheliomas And A Malignant Mesothelioma With Osseous And Cartilaginous Differentiation Case Reports
Pleomorphic And Desmoplastic Malignant Mesotheliomas And A Malignant Mesothelioma With Osseous And Cartilaginous Differentiation Case Reports from www.jscimedcentral.com
The nine biopsy specimens comprised four epithelioid, four sarcomatoid, and one biphasic mesothelioma. A doctor removes a sample of tissue for examination under a . Malignant pleural mesothelioma (mpm) is primarily caused by asbestos inhalation (85% of cases) and is predominantly diagnosed in men (male to . Biopsy, a procedure to remove a small portion of tissue for laboratory examination, is the only way to determine whether you have mesothelioma. Mesothelioma is an increasingly frequent malignancy in which diagnosis is often delayed and disease diagnosed at an advanced stage. Three of the four epithelioid mesotheliomas showed a . Generally, a biopsy is needed to confirm a diagnosis of malignant mesothelioma. Our knowledge, this is the first case in which a pleural biopsy.

A biopsy is a tissue or fluid sample that doctors use to determine if a patient has mesothelioma.

The nine biopsy specimens comprised four epithelioid, four sarcomatoid, and one biphasic mesothelioma. Our knowledge, this is the first case in which a pleural biopsy. Mesothelioma is an important cause of lobulated or nodular pleural. A doctor removes a sample of tissue for examination under a . Three of the four epithelioid mesotheliomas showed a . Mesothelioma is an increasingly frequent malignancy in which diagnosis is often delayed and disease diagnosed at an advanced stage. Malignant pleural mesothelioma (mpm) is an aggressive tumor linked to asbestos exposure. Generally, a biopsy is needed to confirm a diagnosis of malignant mesothelioma. A biopsy is the only way to confirm a diagnosis of . Biopsy, a procedure to remove a small portion of tissue for laboratory examination, is the only way to determine whether you have mesothelioma. Malignant pleural mesothelioma (mpm) is primarily caused by asbestos inhalation (85% of cases) and is predominantly diagnosed in men (male to . A mesothelioma biopsy involves collecting a sample of potentially cancerous tissue so it can be tested for signs of mesothelioma. A biopsy is a tissue or fluid sample that doctors use to determine if a patient has mesothelioma.

Three of the four epithelioid mesotheliomas showed a . Malignant pleural mesothelioma (mpm) is an aggressive tumor linked to asbestos exposure. A mesothelioma biopsy involves collecting a sample of potentially cancerous tissue so it can be tested for signs of mesothelioma. The nine biopsy specimens comprised four epithelioid, four sarcomatoid, and one biphasic mesothelioma. Mesothelioma is an important cause of lobulated or nodular pleural.

Malignant Mesothelioma Causes Symptoms Diagnosis Treatment Mesothelioma Malignant Pathology Youtube
Malignant Mesothelioma Causes Symptoms Diagnosis Treatment Mesothelioma Malignant Pathology Youtube from i.ytimg.com
Generally, a biopsy is needed to confirm a diagnosis of malignant mesothelioma. A biopsy is a tissue or fluid sample that doctors use to determine if a patient has mesothelioma. Our knowledge, this is the first case in which a pleural biopsy. Three of the four epithelioid mesotheliomas showed a . Malignant pleural mesothelioma (mpm) is an aggressive tumor linked to asbestos exposure. A biopsy is the only way to confirm a diagnosis of . Biopsy, a procedure to remove a small portion of tissue for laboratory examination, is the only way to determine whether you have mesothelioma. A doctor removes a sample of tissue for examination under a .

Biopsy, a procedure to remove a small portion of tissue for laboratory examination, is the only way to determine whether you have mesothelioma.

A doctor removes a sample of tissue for examination under a . The nine biopsy specimens comprised four epithelioid, four sarcomatoid, and one biphasic mesothelioma. A biopsy is the only way to confirm a diagnosis of . Mesothelioma is an increasingly frequent malignancy in which diagnosis is often delayed and disease diagnosed at an advanced stage. Three of the four epithelioid mesotheliomas showed a . A biopsy is a tissue or fluid sample that doctors use to determine if a patient has mesothelioma. Generally, a biopsy is needed to confirm a diagnosis of malignant mesothelioma. Malignant pleural mesothelioma (mpm) is an aggressive tumor linked to asbestos exposure. A mesothelioma biopsy involves collecting a sample of potentially cancerous tissue so it can be tested for signs of mesothelioma. Malignant pleural mesothelioma (mpm) is primarily caused by asbestos inhalation (85% of cases) and is predominantly diagnosed in men (male to . Our knowledge, this is the first case in which a pleural biopsy. Mesothelioma is an important cause of lobulated or nodular pleural. Biopsy, a procedure to remove a small portion of tissue for laboratory examination, is the only way to determine whether you have mesothelioma.

Post a Comment

[ADS] Bottom Ads