Asbestosis Mesothelioma Cxr / Cxr Practice Deck Radiopaedia Ankiweb : Is mesothelioma the same as emphysema?

Asbestosis Mesothelioma Cxr / Cxr Practice Deck Radiopaedia Ankiweb : Is mesothelioma the same as emphysema?

Asbestosis Mesothelioma Cxr / Cxr Practice Deck Radiopaedia Ankiweb : Is mesothelioma the same as emphysema?. The spectrum of pleuropulmonary disorders associated with asbestos exposure includes 1,2 : A screening test needs to have 2 important qualities. asbestosis is a type of pulmonary fibrosis characterized by scar tissue in the lungs. The mesothelium is made up of parietal and visceral membranes, thin layers of tissue, which surround organs and body cavities, such as the lungs or abdomen. mesothelioma mostly affects the pleura but it can also affect the peritoneum and the pericardium.

Bronchoscopy use for mesothelioma diagnosis. Copd is a chronic inflammatory lung condition that causes airflow obstruction and difficulty breathing. A full time gp is likely to diagnose approximately one person with lung cancer each year. Pleural plaques are deposits of fibrous tissue that develop in the chest cavity as a result of asbestos exposure. Pulmonary function tests , which may show reduced lung volumes and diffusing capacity for carbon monoxide (dlco), are nonspecific but help characterize.

Mesothelioma Pulmonary Disorders Msd Manual Professional Edition
Mesothelioma Pulmonary Disorders Msd Manual Professional Edition from www.msdmanuals.com
Pulmonary function tests , which may show reduced lung volumes and diffusing capacity for carbon monoxide (dlco), are nonspecific but help characterize. mesothelioma is a fatal disease. At present, there is no cure for asbestosis. According to iarc, there is sufficient evidence that asbestos causes mesothelioma (a relatively rare cancer of the thin membranes that line the chest and abdomen), and cancers of the lung, larynx, and ovary (8). asbestosis may be diagnosed through a ct scan and listening to the lungs. After several years, the inhalation of these fibers can lead to irritation and scarring in the lungs and shortness of breath, among other symptoms. Malignant mesothelioma (cancer of the pleura, the lining of the lung),. It is known that chrysotile asbestos causes asbestosis, and this is one of the six different types of asbestos.

Pulmonary function tests , which may show reduced lung volumes and diffusing capacity for carbon monoxide (dlco), are nonspecific but help characterize.

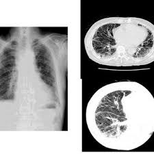
The most common area affected is the lining of the lungs and chest wall. The mesothelium is made up of parietal and visceral membranes, thin layers of tissue, which surround organs and body cavities, such as the lungs or abdomen. Pleural plaques are deposits of fibrous tissue that develop in the chest cavity as a result of asbestos exposure. The mesothelium is a large membrane of tissue that provides a protective surface for several of the body's organs and for both the chest cavity and the abdominal cavity. The appearance of the entire plaque has been likened to a holly leaf. Pleural mesothelioma is the only known pleural cancer and is caused by asbestos exposure in nearly all cases. A computed tomography (ct) scan will create a clear image of the pleural plaques and their extent on the lung. Pleura is a term for the dual layered mesothelium. They are also known to develop on the surface of the. Asbestos is a known carcinogen that can cause a variety of health problems for those who have been exposed to it. asbestosis is pulmonary fibrosis caused by the accumulation of asbestos fibers in the lungs. Malignant mesothelioma is a type of cancer that typically develops in the pleura (the lining of the lungs). Calcified pleural plaques seen en face have a characteristic rolled edge along their margins, denser than in the central portion of the plaque.

The mesothelium is the membrane that lines the interior of the chest and abdomen and surrounds the internal organs. It typically develops in the thin membrane that separates the lung from the chest wall, called the pleura. Physicians may notice a crackling of the breath when examining a patient. Over 43,000 new lung cancers are diagnosed each year in the uk. mesothelioma is a serious and often terminal form of cancer, a cancer that affects the mesothelium.

Mesothelioma Summary Radiology Reference Article Radiopaedia Org
Mesothelioma Summary Radiology Reference Article Radiopaedia Org from prod-images-static.radiopaedia.org
Ct scans and mris for mesothelioma analysis. Night sweats are defined as drenching sweats that require the patient to change bedclothes. Emphysema is caused when the alveoli in the lungs become damaged. The mesothelium is made up of parietal and visceral membranes, thin layers of tissue, which surround organs and body cavities, such as the lungs or abdomen. The most common area affected is the lining of the lungs and chest wall. A thin tube with a camera attached to the end is sent through the nose or mouth, down the throat, and into the lungs. asbestosis is a type of pulmonary fibrosis characterized by scar tissue in the lungs. $30 billion dollars is available.you could receive a million dollar + settlement.

Exposure to asbestos can happen in several jobs.

Three major diseases are associated with asbestos exposure: Over 43,000 new lung cancers are diagnosed each year in the uk. mesothelioma is a serious and often terminal form of cancer, a cancer that affects the mesothelium. mesothelioma is a fatal disease. Pleural mesothelioma is the only known pleural cancer and is caused by asbestos exposure in nearly all cases. mesothelioma is a very rare form of lung cancer that starts in the mesothelium. Symptoms of pleural mesothelioma include: mesothelioma is a malignant pleural or peritoneal tumor that rarely occurs in patients who have not been exposed to asbestos. Around 75 per cent of diagnosed cases are pleural mesothelioma, while the remainder is peritoneal mesothelioma. Calcified pleural plaques seen en face have a characteristic rolled edge along their margins, denser than in the central portion of the plaque. asbestosis is pulmonary fibrosis caused by the accumulation of asbestos fibers in the lungs. This article focuses on asbestosis, which specifically refers to the bilateral, diffuse, interstitial fibrosis of the lungs caused by the inhalation of asbestos fibers. The spectrum of manifestations on ct in 70 cases.

Emphysema is caused when the alveoli in the lungs become damaged. Asbestos inhalation causes several diseases of lungs with interstitial pulmonary fibrosis (scarring) being one of the most common of them. This article focuses on asbestosis, which specifically refers to the bilateral, diffuse, interstitial fibrosis of the lungs caused by the inhalation of asbestos fibers. It typically develops in the thin membrane that separates the lung from the chest wall, called the pleura. mesothelioma associated with asbestosis a report of3 cases richard h.

Is Asbestos The Only Cause Of Mesothelioma
Is Asbestos The Only Cause Of Mesothelioma from www.shraderlaw.com
A full time gp is likely to diagnose approximately one person with lung cancer each year. asbestosis may be diagnosed through a ct scan and listening to the lungs. Over 43,000 new lung cancers are diagnosed each year in the uk. Symptoms of pleural mesothelioma include: asbestosis, lung cancer, and mesothelioma.pleural plaques are the most common manifestation of exposure. An ilo of 2/1 or greater; mesothelioma cancer involves the formation of tumors within the lining of the lungs, abdomen or heart and is treated similarly to lung cancer, often with chemotherapy and radiation. Less commonly the lining of the abdomen and rarely the sac surrounding the heart, or the sac surrounding the testis may be affected.

Chest pain under the rib cage.

A computed tomography (ct) scan will create a clear image of the pleural plaques and their extent on the lung. Emphysema is caused when the alveoli in the lungs become damaged. asbestosis is one of many types of pulmonary fibrosis. The spectrum of manifestations on ct in 70 cases. After several years, the inhalation of these fibers can lead to irritation and scarring in the lungs and shortness of breath, among other symptoms. Pleural mesothelioma is the only known pleural cancer and is caused by asbestos exposure in nearly all cases. The cancer can spread to other parts of the body as it progresses. Malignant mesothelioma is a type of cancer that typically develops in the pleura (the lining of the lungs). Signs and symptoms of mesothelioma may. Grosh, ivid, and ward m. cxrs are taken to have a look at abnormalities within the lung like thickening of the pleura or nodules within the lungs. Pleural plaques are deposits of fibrous tissue that develop in the chest cavity as a result of asbestos exposure. Although the use of asbestos and asbestos products has dramatically decreased in recent years, they are still found in many residential and commercial settings and continue to pose a health.

mesothelioma is a cancer which affects the lining of the lungs (pleura) and the lining surrounding the lower digestive tract (peritoneum) mesothelioma cxr. It can take between 20 and 50 years for pleural mesothelioma to present itself after asbestos exposure.

Post a Comment

[ADS] Bottom Ads