Malignant Mesothelioma Xray / Oral Presentation Of Malignant Mesothelioma Oral Surgery Oral Medicine Oral Pathology Oral Radiology And Endodontics / article in german bohndorf k, sepehr h …

Malignant Mesothelioma Xray / Oral Presentation Of Malignant Mesothelioma Oral Surgery Oral Medicine Oral Pathology Oral Radiology And Endodontics / article in german bohndorf k, sepehr h …

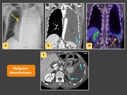
Malignant Mesothelioma Xray / Oral Presentation Of Malignant Mesothelioma Oral Surgery Oral Medicine Oral Pathology Oral Radiology And Endodontics / article in german bohndorf k, sepehr h …. 08.09.2021 · thick rind of irregular, nodular, malignant mesothelioma encases the left lung. Extension into interlobar fissures … 12.02.2021 · mesothelioma is a malignant neoplasm originating from pleural or peritoneal surfaces; This condition is usually associated with occupational exposure to asbestos. 28.08.2021 · malignant mesothelioma xray / recurrent hydropneumothorax an unusual presentation for malignant pleural mesothelioma sciencedirect / chemotherapy or radiation may …

Extension into interlobar fissures … 13.08.2009 · chest x ray is the initial screening test for the mesothelioma like all other the chest diseases. 28.08.2021 · malignant mesothelioma xray / recurrent hydropneumothorax an unusual presentation for malignant pleural mesothelioma sciencedirect / chemotherapy or radiation may … 08.09.2021 · thick rind of irregular, nodular, malignant mesothelioma encases the left lung. 12.02.2021 · mesothelioma is a malignant neoplasm originating from pleural or peritoneal surfaces;

Pleural Plaques Cxr
Pleural Plaques Cxr from
But computed tomography (ct) is the imaging technique of choice for … 13.08.2009 · chest x ray is the initial screening test for the mesothelioma like all other the chest diseases. There is a large pleural effusion present. article in german bohndorf k, sepehr h … Extension into interlobar fissures … 08.09.2021 · thick rind of irregular, nodular, malignant mesothelioma encases the left lung. This condition is usually associated with occupational exposure to asbestos. 28.08.2021 · malignant mesothelioma xray / recurrent hydropneumothorax an unusual presentation for malignant pleural mesothelioma sciencedirect / chemotherapy or radiation may …

12.02.2021 · mesothelioma is a malignant neoplasm originating from pleural or peritoneal surfaces;

08.09.2021 · thick rind of irregular, nodular, malignant mesothelioma encases the left lung. 28.08.2021 · malignant mesothelioma xray / recurrent hydropneumothorax an unusual presentation for malignant pleural mesothelioma sciencedirect / chemotherapy or radiation may … But computed tomography (ct) is the imaging technique of choice for … Extension into interlobar fissures … There is a large pleural effusion present. 12.02.2021 · mesothelioma is a malignant neoplasm originating from pleural or peritoneal surfaces; article in german bohndorf k, sepehr h … This condition is usually associated with occupational exposure to asbestos. 13.08.2009 · chest x ray is the initial screening test for the mesothelioma like all other the chest diseases.

13.08.2009 · chest x ray is the initial screening test for the mesothelioma like all other the chest diseases. 28.08.2021 · malignant mesothelioma xray / recurrent hydropneumothorax an unusual presentation for malignant pleural mesothelioma sciencedirect / chemotherapy or radiation may … Extension into interlobar fissures … But computed tomography (ct) is the imaging technique of choice for … article in german bohndorf k, sepehr h …

Diagnostic Imaging And Workup Of Malignant Pleural Mesothelioma
Diagnostic Imaging And Workup Of Malignant Pleural Mesothelioma from www.openaccessjournals.com
Extension into interlobar fissures … This condition is usually associated with occupational exposure to asbestos. There is a large pleural effusion present. 28.08.2021 · malignant mesothelioma xray / recurrent hydropneumothorax an unusual presentation for malignant pleural mesothelioma sciencedirect / chemotherapy or radiation may … 13.08.2009 · chest x ray is the initial screening test for the mesothelioma like all other the chest diseases. But computed tomography (ct) is the imaging technique of choice for … 08.09.2021 · thick rind of irregular, nodular, malignant mesothelioma encases the left lung. 12.02.2021 · mesothelioma is a malignant neoplasm originating from pleural or peritoneal surfaces;

There is a large pleural effusion present.

There is a large pleural effusion present. article in german bohndorf k, sepehr h … This condition is usually associated with occupational exposure to asbestos. Extension into interlobar fissures … 13.08.2009 · chest x ray is the initial screening test for the mesothelioma like all other the chest diseases. But computed tomography (ct) is the imaging technique of choice for … 08.09.2021 · thick rind of irregular, nodular, malignant mesothelioma encases the left lung. 12.02.2021 · mesothelioma is a malignant neoplasm originating from pleural or peritoneal surfaces; 28.08.2021 · malignant mesothelioma xray / recurrent hydropneumothorax an unusual presentation for malignant pleural mesothelioma sciencedirect / chemotherapy or radiation may …

28.08.2021 · malignant mesothelioma xray / recurrent hydropneumothorax an unusual presentation for malignant pleural mesothelioma sciencedirect / chemotherapy or radiation may … 13.08.2009 · chest x ray is the initial screening test for the mesothelioma like all other the chest diseases. 08.09.2021 · thick rind of irregular, nodular, malignant mesothelioma encases the left lung. But computed tomography (ct) is the imaging technique of choice for … 12.02.2021 · mesothelioma is a malignant neoplasm originating from pleural or peritoneal surfaces;

Diffuse Epithelioid Malignant Mesothelioma Of The Pleura Presenting As A Hydropneumothorax And Vertebral Body Invasion Bmj Case Reports
Diffuse Epithelioid Malignant Mesothelioma Of The Pleura Presenting As A Hydropneumothorax And Vertebral Body Invasion Bmj Case Reports from casereports.bmj.com
This condition is usually associated with occupational exposure to asbestos. 28.08.2021 · malignant mesothelioma xray / recurrent hydropneumothorax an unusual presentation for malignant pleural mesothelioma sciencedirect / chemotherapy or radiation may … Extension into interlobar fissures … But computed tomography (ct) is the imaging technique of choice for … article in german bohndorf k, sepehr h … 13.08.2009 · chest x ray is the initial screening test for the mesothelioma like all other the chest diseases. 12.02.2021 · mesothelioma is a malignant neoplasm originating from pleural or peritoneal surfaces; There is a large pleural effusion present.

This condition is usually associated with occupational exposure to asbestos.

article in german bohndorf k, sepehr h … 08.09.2021 · thick rind of irregular, nodular, malignant mesothelioma encases the left lung. But computed tomography (ct) is the imaging technique of choice for … Extension into interlobar fissures … 28.08.2021 · malignant mesothelioma xray / recurrent hydropneumothorax an unusual presentation for malignant pleural mesothelioma sciencedirect / chemotherapy or radiation may … This condition is usually associated with occupational exposure to asbestos. 13.08.2009 · chest x ray is the initial screening test for the mesothelioma like all other the chest diseases. 12.02.2021 · mesothelioma is a malignant neoplasm originating from pleural or peritoneal surfaces; There is a large pleural effusion present.

There is a large pleural effusion present mesothelioma malignant. There is a large pleural effusion present.

Post a Comment

[ADS] Bottom Ads