Mesothelioma Histology - Problems In Mesothelioma Diagnosis Addis 2009 Histopathology Wiley Online Library : However, in some cases, the cellularity may be scant.

Mesothelioma Histology - Problems In Mesothelioma Diagnosis Addis 2009 Histopathology Wiley Online Library : However, in some cases, the cellularity may be scant.

Mesothelioma Histology - Problems In Mesothelioma Diagnosis Addis 2009 Histopathology Wiley Online Library : However, in some cases, the cellularity may be scant.. Signs and symptoms of mesothelioma may. Malignant mesothelioma (mm) is an aggressive malignancy of the serosal membranes. Lung carcinoma and malignant mesothelioma in patients exposed to thorotrast: mesothelioma is an aggressive and deadly form of cancer. Regardless of the manner in which they are obtained, all biopsy and fluid samples are sent to a pathologist.

0 public playlist include this case. Understanding cell kinds mesothelioma histology is the research study of the function and also structure of anatomy, consisting of tissues as well as cells. Malignant mesothelioma, also mesothelioma, is a form of cancer. +0.52 if unconfirmed histology, and +0.60 if male gender). Law firms can get compensation for patients and loved ones by filing a mesothelioma.

Webpathology Com A Collection Of Surgical Pathology Images
Webpathology Com A Collection Of Surgical Pathology Images from www.webpathology.com
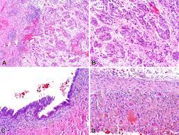
Diffuse malignant mesothelioma (dmm) is an uncommon cancer with great clinical significance because it currently remains an incurable disease, and most patients die within months after diagnosis. While many tumors have clear, defined edges, mesothelioma does not. The department of pathology, cork university hospital, cork, ireland (dr. mesothelioma can start in any location where mesothelial cells are normally found, although the most common location is in the parietal pleura. Another name for mesothelioma is malignant mesothelioma. mesothelioma is an insidious disease with long latency after asbestos exposure. During this process, the pathologist may also determine the mesothelioma cell type. Diagnostic criteria and proposed grading schema.

histology and sample sizes histology no.

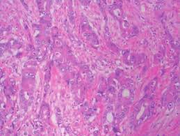
Seyede saeede hosseini, payambar azam hospital. Treatment for this disease may include surgery, chemotherapy, radiation therapy, and immunotherapy. Andersson m, wallin h, jönsson m, et al. It has a poor prognosis, with direct invasion of the chest wall or lungs and distant metastases. The most common area affected is the lining of the lungs and chest wall. Mesothelial tumors can start in any of these linings. Instead, it can surround organs and fill in the chest and abdominal cavity, compressing. Biopsy, a procedure to remove a small portion of tissue for laboratory examination, is the only way to determine whether you have mesothelioma. This study comprises 326 cases of sarcomatoid mesotheliomas among 2000. Epithelioid mesothelioma cells may adopt a new shape once they become cancerous. This cell type is the most responsive to treatment. Each tumor specimen was reviewed by three pathologists (k.i., y.t., and k.k.). That is why if you look at your pathology report, very often it will show positivity for some tests and negativity for others.

Regardless of the manner in which they are obtained, all biopsy and fluid samples are sent to a pathologist. mesothelioma can start in any location where mesothelial cells are normally found, although the most common location is in the parietal pleura. mesothelioma is a rare cancer that starts in the mesothelium, a layer of tissue that lines the outside of the lungs, called the pleura, and the inside of the chest wall and abdominal cavity. Malignant mesothelioma histology pathology outlines. Another name for mesothelioma is malignant mesothelioma.

Clinical Significance Of Histologic Subtyping Of Malignant Pleural Mesothelioma Brcic Translational Lung Cancer Research
Clinical Significance Of Histologic Subtyping Of Malignant Pleural Mesothelioma Brcic Translational Lung Cancer Research from cdn.amegroups.cn
Weigh and measure in 3 dimensions. 374 digestive malignancy with mcc. mesothelioma is a cancer that affects the thin membrane protecting several of the body's most important organs, including the lungs, abdomen and heart. Malignant mesothelioma treatment may include surgery, radiation therapy, and chemotherapy. Corson jm (1997) pathology of diffuse malignant pleural mesothelioma. Mesothelial tumors can start in any of these linings. It should not be confused with benign multicystic mesothelioma and benign papillary. Epithelioid mesothelioma cells may adopt a new shape once they become cancerous.

A mesothelioma law firm specializes in asbestos law and mesothelioma cases.

It arises from the mesothelium. Another subset of this area, called histopathology, looks especially at the microstructure of unhealthy cells as well as tissues, which is what a pathologist will. mesothelioma is an insidious disease with long latency after asbestos exposure. This study comprises 326 cases of sarcomatoid mesotheliomas among 2000. A mesothelioma law firm specializes in asbestos law and mesothelioma cases. However, in some cases, the cellularity may be scant. Regardless of the manner in which they are obtained, all biopsy and fluid samples are sent to a pathologist. The study of diseased cells, such as those found in tumors, is a branch of histology called histopathology. Treatment for this disease may include surgery, chemotherapy, radiation therapy, and immunotherapy. The effects of mesothelioma can be devastating. In many cases, victims of the disease have just a few years to live after their diagnosis. Measure maximal thickness of tumor. Bap1 is a tumour suppressor gene commonly mutated in mm.

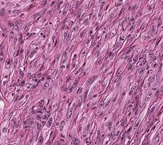
In a cursory evaluation, this tumor can be easily confused for a benign fibrous pleurisy. Van kaick g, dalheimer a, hornik s, et al. Epithelioid mesothelioma cells spread more slowly than sarcomatoid cancer cells. Pleural mesothelioma most common type. Pathology reports from 1997 to 2006 were reviewed at two academic institutions to identify patients with proven pleural mesothelioma.

Malignant Mesothelioma Mm American Urological Association
Malignant Mesothelioma Mm American Urological Association from www.auanet.org
Subsequently, patients were classified into. Biphasic mesothelioma, epithelioid mesothelioma, desmoplastic mesothelioma, sarcomatoid mesothelioma. Sarcomatoid mesothelioma is shown with desmoplastic features. mesothelioma is an aggressive and deadly form of cancer. This study comprises 326 cases of sarcomatoid mesotheliomas among 2000. During this process, the pathologist may also determine the mesothelioma cell type. Weigh and measure in 3 dimensions. Malignant mesothelioma histology pathology outlines.

Polygonal, cuboidal, or oval in shape and may imitate noncancerous mesothelial cells.

A mesothelioma law firm specializes in asbestos law and mesothelioma cases. Eod home pleural mesothelioma pleural mesothelioma. Signs and symptoms of mesothelioma may. Gross pathology image courtesy of dr. Each tumor specimen was reviewed by three pathologists (k.i., y.t., and k.k.). Sporadic bap1 mutations are common and are associated with improved survival. Lung carcinoma and malignant mesothelioma in patients exposed to thorotrast: Based on the findings, you may undergo further testing to determine whether mesothelioma or another disease is causing your symptoms. The study of diseased cells, such as those found in tumors, is a branch of histology called histopathology. Pleural mesothelioma offers a median survival time of approximately 16 to 17 months after initial symptoms. It has a poor prognosis, with direct invasion of the chest wall or lungs and distant metastases. Unfortunately, even with aggressive treatment, the prognosis for mesothelioma patients is poor. The department of pathology, cork university hospital, cork, ireland (dr.

Post a Comment

[ADS] Bottom Ads